李晶洁教授:哪些治疗会影响孩子的生育功能?家长能做什么?
文章来源:向日葵儿童
作者:李晶洁
责任编辑:zhengty
时间:2026-01-04
上期《专家来了》有幸邀请到中山大学附属第六医院副主任医师、女性生育力保存项目临床负责人李晶洁教授带来“生育力保护小妙招:为宝贝健康发育上‘保险’”的专题直播。
今天分享内容回顾,一起来学习吧~
为什么要进行生育力保存?
对于女性而言,生育力是存在上限的。女性一生中能排卵的个数并没有想象中那么多,只能排300到500个。所以在这种情况下,孩子的放化疗或者是其他的一些对卵巢有损伤的治疗,都可能会导致生育力的显著下降,孩子很早就会出现卵巢功能下降甚至衰竭的情况。
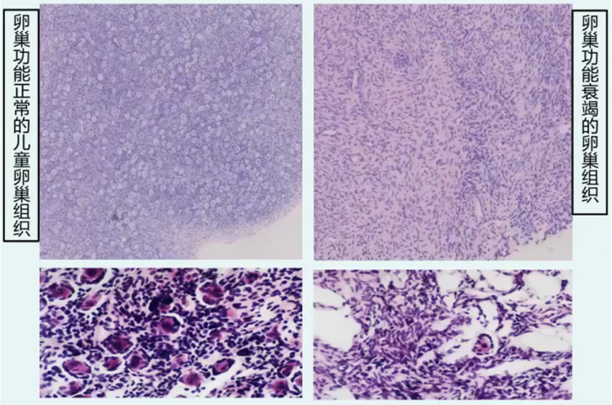
左边这幅图是卵巢功能正常的小朋友,可以看到她的卵巢上面有很多像葡萄一样的小泡泡,这些就是卵泡,每一个都是孕育后代的种子;右边这幅图就是卵巢功能已经完全衰竭的女性的卵巢,可以看到没有任何的卵泡存在,这样的卵巢组织既不可能分泌相应激素来保证孩子的生长发育及月经来潮,也不能满足生育的需求。
所以,卵巢是会衰老的,卵泡的个数是一定的。如果遭受了损伤,就会导致提前衰竭。我们要未雨绸缪,提前把生育力保护起来,才可以满足孩子生长发育以及生育的需求。
卵巢衰竭,对孩子有哪些影响?
如果在儿童期或者是青春期就出现了卵巢衰竭,一方面,可能会导致孩子外观的异常,也就是生长发育过程中第一性征和第二性征的异常。对于第一性征,比如子宫的形态、生殖器的发育有可能受损。女孩可能会子宫很小,不能满足生育的需求。对于第二性征,例如乳房发育差,女性正常的体态不明显。另一方面,也会影响骨骼的健康,儿童期的骨骼发育是非常重要的,这个阶段的骨量累积可以达到一生中的顶峰,但如果缺乏相应的激素,比如雌激素,就会导致骨量的累积不够,后续很早就可能会出现骨质疏松或骨折。
所以儿童期的卵巢功能衰竭会影响孩子的方方面面。尤其跟同龄人相比,外观上、身体健康上都有很大差别,这种情况下也会影响孩子心理健康。孩子成年以后,还会带来更多的烦恼,包括不孕、不来月经、内分泌异常、骨质疏松更严重等等,甚至很早期就出现了更年期的症状,比如抑郁、焦虑,失眠等等。所以儿童期的卵巢非常重要,是我们特别需要保护的器官。
根据现有的临床报告,儿童肿瘤相对于成人或老年人而言,治疗的效果更好,治愈率可达80%到90%。因此,我们家长需要未雨绸缪,不仅要考虑肿瘤治疗,也要为孩子以后的健康成长铺路。
哪些治疗会影响孩子的生育功能?
肿瘤的治疗,包括放疗、化疗,还有造血干细胞移植,都会对生育能力造成影响。来到我们生殖中心咨询的家长,很多都会先问一个问题:“医生,这个孩子有多大的概率会出现卵巢功能衰竭?”
家长问出这句话的时候,其实往往心里想的是,如果有比较大的概率不会出现衰竭,就不做保存了。关于这个问题,希望家长不要有赌博的心态。我们需要提前进行干预,而不是说去赌一个概率。其实我们很难判断她后续到底是不是会出现卵巢功能衰竭,这个概率是有很多影响因素的,包括放化疗的强度、孩子本身的卵巢功能等等。
我们中心已经开展了很多年的儿童生育力保存,通过随访,我们总结了一些造血干细胞移植前后,卵巢功能评估的数据。其中,AMH就是反映卵巢功能一个数值。一般来讲,这个数值大于1.1ng/ml认为是正常的。下面这张图是儿童造血干细胞移植后,各方面的数据,可以看到AMH的数值出现了急剧下降,甚至已经到了检测的下限(0.01)。90%以上的孩子造血干细胞移植后都会出现显著的卵巢功能下降或卵巢早衰。所以我还是建议家长提前进行干预,起码要来生殖中心进行生育能力保存的咨询。

作为家长,我能做什么?
首先在面对肿瘤专科的主治医生的时候,家长要学会跟医生积极沟通。可能每一个医生的见解和观点有些不同,有些医生想得更全面,而有些医生会更关注肿瘤的治疗。所以家长要学会提问,询问现有的这些治疗对孩子的生长发育到底有没有影响。如果确实会造成影响,那可以进一步和医生沟通在治疗方案上兼顾孩子生育力的可能性,比如化疗药物剂量或者方案的调整等等。
另外,我们还需要问医生,孩子目前身体情况是否可以做生育力保存?如果可以,那能给孩子多少时间?这个对生育力保存的医生是非常重要的,我们要根据您给的时间,来选择相应的方案,帮助孩子完成生育力保存。
家长还要把孩子所有的病历资料都整理好。打印整理好孩子所有的检查报告、病历资料。这有利于生殖医生全面了解孩子的情况,来制定个性化的生育力保存方案。
在日常生活中,还需要记录孩子标志性的发育节点,比如:什么时候开始有一点点乳房发育了?孩子说胸疼、胸胀是什么时候出现的?脸上是什么时候开始长痘痘的(这可能说明体内开始有雄激素,雌激素的生成)?什么时候来月经的?这些时间节点也是非常重要的。比如孩子出现乳房发育、第二性征发育的情况是8岁以前还是8岁以后?如果8岁前就出现了,可能孩子存在性早熟的情况,这也是需要医疗干预的问题;如果14岁以后孩子还没有来月经(又称原发性闭经),孩子可能已经出现了卵巢功能衰竭。
同时,孩子发育的每一个时间点,我们要仔细记录身高、体重,可以做一个表格,以便让医生了解孩子的情况。另外孩子平常的饮食习惯、生活习惯怎么样,有没有晒太阳、有没有营养补充等,也要记录下来。
记录孩子的情况之后,可以通过相应的表格或者数据,简单先了解一下孩子在同龄人中达到怎样的水平,是不是已经落后了?是不是要进行干预?是不是要前来就诊?如果明显感觉孩子跟同龄人有很大的差别,就可以寻求医生进一步的帮助和治疗。
怎么做生育力保存?
如果想让孩子有正常的发育以及生育的能力,相对于打保护卵巢的针,或者是说吃什么东西补补,都没有生育力保存技术的效果确切。这是孩子以后想生育的唯一的后悔药,给孩子一个选择的机会。
儿童或青少年女性生育力保存的方法包括卵子冷冻和卵巢组织冷冻。卵巢组织冷冻是对儿童而言,目前最主流的生育力保存的方法,就是取一部分或者是一个卵巢,在体外切片修剪,在极低温的液氮环境中进行冷冻保存。
如果孩子在青春期就出现了生长发育的停滞,就可以先进行部分卵巢皮片的移植,让孩子先顺利完成青春期发育。等到她准备生育的时候,再进行另外一部分卵巢皮片的移植,来实现自然的生育。以上是卵巢组织移植的两个时间点,具体时间选择,需要和医生详细沟通。
获取卵巢组织是通过微创手术来实现的,目前我们中心(中山六院生殖中心)是把这个手术放在小儿外科来做的,因为手术器械会更细小。手术创口非常小,例如在卵巢组织获取手术后,刀口仅有一点点,隐藏在肚脐眼处,几乎看不见。基本上孩子上午做完手术,下午就可以下床活动了。我们目前已经完成了接近300例的儿童生育力保存,卵巢组织冷冻的最低年龄只有3岁。
对于年龄稍微大一点的小朋友(13岁以上),无论她是否月经来潮,我们都可以通过卵子冷冻的方式来保存生育力。卵子冷冻的优势就在于不需要手术,只需要在B超引导下,通过一个细针穿刺把卵子吸出来进行冷冻保存,后续孩子结婚以后,可以通过试管婴儿的方式怀孕。这种方法成功率更高、创伤更小。前段时间有一个15岁的小朋友,在做造血干细胞移植之前来做生育力保存。经过评估,孩子的卵巢功能挺好的,所以我们就打针促进她的卵泡成熟,再在B超引导下通过细针穿刺吸出来,整个过程需要10天。最终这个女孩冷冻了26枚成熟的卵母细胞,根据现有的数学模型算法计算,未来的可怀孕的概率将超过60%。
如何就诊?
建议孩子在做放化疗或者是造血干细胞移植以前就带材料来咨询就诊、进行生育力保存,因为如果已经接受过放化疗或者是已经造血干细胞移植以后,卵巢已经受到影响,再进行生育力保存的效果就不好了。如果孩子已经出现卵巢功能衰竭,可以通过外源性的药物来维持她的月经和青春期发育,维持女性的外观,但是因为种子已经没有了,所以后续是没有办法生育的。
大家可以通过我们的微信公众号挂号来就诊(微信搜索中山六院生殖中心)。即便您没有挂号,直接来医院也是可以就诊的。如果当天的号都已经挂满了,我们也会开通绿色通道,为孩子们加号和优先看诊。
做生育力保存前的评估过程不复杂,大约需要半天时间,包括血液检查和B超,2小时后即可获取检查结果。咨询时我们会告诉家长们流程和费用是怎么样的,卵子冷冻通常需要两周时间,其中大部分时间(约10天左右)在门诊进行;而卵巢组织冷冻需要住院,大约4天,通过微创手术完成。
Q&A
01
Q:孩子八岁神经母细胞瘤,现在第五次化疗完。如果要做自体干细胞移植,什么时候要做生育力保存?什么样的方式?
A:一般来讲,做了五次化疗以后,孩子的卵巢功能已经明显下降,所以要先抽血、查B超来确定孩子目前还有没有机会做生育力保存。如果卵巢功能依然很好,就可以通过卵巢组织冷冻来保存生育能力。但大概率生育力已经下降较多了,可能已经丧失了生育力保存的机会,所以在做移植之前最好做一下评估咨询。
02
Q:生育力保存手术或者操作是否可能增加感染或其他的风险?
A:一般不会。手术都是严格的微创、无菌操作。除非小朋友有一些很特殊的疾病,比如免疫缺陷,或者是白细胞特别低的白血病小朋友,但这种情况是不建议进行手术的。
一般术后第二天就可以出院了,但需要注意孩子肚脐上的伤口要家长帮助护理,保持伤口干燥、定期消毒。
Q:女儿已经做了生育力保存,但是不知道什么时候用?到时候怎么用?
A:女性生育力保存有两种,一是保存卵巢组织,二是保存卵子。
对于卵巢组织保存,有两个时间可以用。第一个就是孩子14岁左右时,因为卵巢功能衰竭,出现了青春期发育停滞,这个时候可以移植部分的卵巢组织回去,诱导自身的青春期发育。我曾经遇到过一位地中海贫血的孩子,12岁时保存了卵巢组织,14岁时移植了五片回体内,后来顺利地月经来潮,外观、身高也跟同龄人完全一样,完成了正常的青春期发育的过程。
第二个时间点是在孩子有生育需求的时候,比如结婚以后,想生宝宝时,这个时候移植主要是为了卵巢上卵泡可以排出来,满足生育需求。
有些家长想把更多的卵巢组织用于后面的生育,在青春期的时候就只用外源性的药物来诱导生长发育,让孩子月经来潮,这也是可以的。
对于卵子冷冻,一般是十四五岁、比较大的孩子做的,这个卵子不能用于月经来潮以及生长发育,只是为了生育的需求,等孩子长大结婚以后,用类似试管婴儿的方式,做成胚胎,再进行胚胎移植,满足生育的需求。
Q:针对已经做了生育力保存的这些孩子来说,需要多久去生殖中心检查一次?
A:一般做完生育力保存以后,就要开始做肿瘤的治疗了,这期间都不用来生殖中心,等到肿瘤治疗完毕或者造血干细胞移植完毕、身体康复以后,才会开始关注生长发育的问题,考虑进行部分卵巢组织移植,来满足生长发育的需求。
Q:孩子目前五岁半了,急性淋巴细胞白血病正在化疗中,治疗进行了630多天,如何保存呢?
A:急性淋巴细胞白血病的化疗对卵巢功能的影响相对较小,但是如果孩子后续要进行造血干细胞移植,移植的影响就非常大。因此对于急性淋巴细胞白血病的孩子,建议化疗到完全缓解以后,再到生殖中心来进行生育力保存的咨询,以防在卵巢上有肿瘤细胞污染的问题。
06
Q:男生需不需做生育力保存?
A:男生也是需要做生育力保存的。如果小朋友还不到12岁,他一般是没有办法自发性排精的,就要进行部分睾丸组织保存,比如冷冻三分之一的睾丸组织;如果是12到14岁的小朋友,也是先尝试诱导排精,如果失败,会在取睾丸组织的时候,看看里面有没有精子,如果有,就同时冷冻精子跟睾丸组织;如果是14岁以上的青少年,可以先看看有没有可能自发性排精,如果可以,就要进行精子的保存。
免责声明:科普在线直播不是治疗方案推荐,因无法了解患者详细病情,且无法对患者进行面对面诊断,专家意见仅作参考,如需获取具体治疗方案,请前往正规医院就诊。
文字整理 | 陈蕾 刘勇 王涵一
一审编辑 | 夏雨
二审编辑 | 左佳